インプラントメンテナンス
歯科インプラント装着後はメインテナンスを続けましょう
デンタルインプラント治療により、人工歯を装着した方、おめでとうございます。当医院ではできるだけ良好な状態を長く保つために「インプラントメインテナンスのための通院」を強く勧めています。
通常は上部構造を外さないまま、ときには上部構造を外した状態で歯科衛生士が専用の機材を使って徹底的な清掃を行います。また、インプラントやインプラント周囲組織に異常がないか検診も行ないます。問題があれば早めに対処できる機会を得ることができます。
インプラントの金属やセラミックを傷付けないためのインプラント専用の超音波スケーラーチップを使います。
他にも専用機材を使いプロの手で管理をしていきます。
インプラントメインテナンスとは
「インプラントの歯が入ったからもう安心だ!」と思っていませんか?
「安心しないで下さい!」は言い過ぎですよね。せっかくのインプラントは安心して使って欲しいです。安心しながらも過信はぜずに、埋入後のインプラントを長持ちさせる努力を続けて欲しいです。
インプラントに固定している人工歯は経年的に劣化するはずです。壊れることもありますよね。インプラント周囲の歯肉や骨といった組織が炎症を起こすこともあります。
インプラント周囲炎の悪化を可能な限り防ぐ方法が二つあります。その一つがインプラントメンテナンスなのです。(もう一つについてはページのどこかに書いています。)
厚生労働省もインプラントメンテナンスの重要性を認識していて、厚生労働省ホームページに「歯科インプラント治療指針」の33ページに歯科インプラント治療におけるメインテナンス(支持療法)という項目があります。
厚生労働省のホームページ内のPDF文書で見ることができますが、このように書かれています。
1. メインテナンス(支持療法)の重要性
歯周病はインプラント周囲炎のリスクファクターであることから,歯周治療を終了した後に歯科インプラント治療を開始することが原則である.さらに,歯科インプラント治療(補綴)終了後にはメインテナンス(支持療法)を行うことが非常に重要である.
2. メインテナンス(支持療法)の目的
(1)インプラントとその周囲組織を口腔内で長期に安定して機能させる
(2)インプラト周囲粘膜炎およびの早期発見,早期治療
(3)インプラト以外の口腔内疾患や症状早期発見
インプラントメンテナンスに通うと重症化しにくい根拠

これは、「インプラント周囲疾患は早期発見ほど治る可能性が高い」という海外の論文(Serino,COIR,2011)の図説です。
この学術論文をみると、インプラント周囲の骨が溶けてしまった人でも、それが軽度の2mm~4mmで対処したら、多くのインプラントは健康な状態になった(74%)が、重度の骨吸収である7mm以上に進行してから治療を開始したインプラントは、たった22%しか健康な状態にならなかったし、多くのインプラントは3か月以内に除去に至ったということが分かります。
大切なこと言いますよ。「インプラントに問題が出ても痛みはありません。」自分では気付かないと思って下さい。もう一度言いかえます。「インプラントの周りの骨が溶けても痛みのシグナルはありません。」異変に気付くのは、知識のある歯科医と歯科衛生士です。
せっかくのインプラントの歯を長持ちさせるために定期的なメインテナンスは不可欠なのです。
インプラント周囲炎は研究段階
しかしながら、歯科インプラント周囲炎研究の歴史は浅いです。世界中で様々な治療法が試みられていますが、海外の文献でも完全に治せる方法はなかなか報告されてきませんでした。
「こうやったら治せました」というケースプレゼンテーションや「こうやったら数パーセント治りましたので、やらないよりはやった方が良いですよ」という論文がほとんどです。
治し方の前に、原因や病院は何であろうかという段階なのです。つまり、良くわかっていない。
2016年の段階でどこまで、解明されているのか?奥羽大学歯学部の歯周病学分野の高橋慶壮(Keiso Takahashi)先生が日本歯周病学会会誌の論文にまとめてくれましたので、興味のある方は読んでみて下さい。

高橋慶壮教授はこの論文で「インプラント周囲炎に関する科学はまだモデル検証の初期段階であろう」と締めくくっています。
おおとも歯科の患者にとって重要なニュース

共同研究者の日本人Atsuhiro Yamamoto先生が翻訳論文を出してくれましたので日本語で読むことができます。
2014年に世界中を驚かせる論文が発表されました。
「Er:YAG レーザーを用いた汚染された歯科インプラント表面の除染処理による骨-インプラント間の接触率の復元」という題名論文がInt J Periodontics Restorative Dentというインパクトファクターの高い歯科専門誌に載ったのです。
ハーバード大学歯周病専門医のDr.Myron Nevinsらの研究論文です。Er:YAGレーザーを効果的に使用すれば、犬の実験ではインプラント周囲炎が高確率で治るというのです。
原題は、「Use of Er:YAG laser to decontaminate infected dental implant surface in preparation for reestablishment of bone-to-implant contact.
Myron Nevins, DDS. Marc L. Nevins, DMD, MMSc. Atsuhiro Yamamoto, DDS. Toshikai Yoshino, DDS, PhD. Yoshihiro Ono, DDS. Chin-Wei(Jeff) Wang, DDS. David M. Kim, DDS, DMSc.」です。
Dr.Myron Nevinsに会いにいった
Dr.Myron Nevinsに会いに行きました。2017年に有名インプラントメーカーが日本に招き講演を依頼していたのです。私は運よくその会社から講演の聴講とパーティーに招待されました。その時の記念写真です。ラッキー!この夜パーティーで彼とお話しでき、診療に取り組む姿勢についてのアドバイスをもらうことができました。彼は80歳くらい、現役の歯医者さんです。彼がハーバード大学の歯学部を卒業した頃に日本で生まれたのが、私(大友)です。Dr.Nevinsは特にアメリカでは非常に有名な歯科医です。彼の有名論文は他にも沢山ありますが、それはまたの機会にお話しさせて頂きます。
次に紹介するのは、2013年のQuintessenceという歯科雑誌にDr.Nevinsの論文と同時に載った別の論文です。これは犬の実験ではなくて、人間のインプラント周囲炎を治したケースレポートです。ここにDr.Nevinsの名前はありません。
この論文を書いた人はEr:YAGレーザーの発売直後すぐに使用を始めた歯医者です。まだEr:YAGレーザーの効果や使い方が分かっていない時代に試行錯誤しながら使用していたのです。その成果が論文になりました。
「Atsuhiko Yamamoto, DDS, PhD, Toshiicho Tanabe, DDS, PhD. Treatment of Peri-implantitis Around TiUnite-Surface Implants Using Er:YAG Laser Microexplosions.2013. Quintessence Volume33, November 1.」
ドイツのサイトからダウンロードできます。
彼は日本で、40万円のセミナーを開き、ノウハウを公開しています。水戸インプラントクリニックおおとも歯科では、2018年3月にレーザーを使ったインプラント周囲炎の治療を始めました。今後も進化し続ける私たちにお任せ下さい。
「メインテナンス」の話から脱線して「インプラント周囲炎を治せる時代へ突入」という話になりましたが、そもそもインプラント周囲疾患にならない方が良いわけです。
インプラント周囲炎にしないことが大切!
大切なのは、悪化した後の治療よりも「インプラント周囲炎にしないこと!」です。同意できますよね。
しかし、現在100%防ぐ方法はありません。ですので、予防する努力と同時に早期発見、早期介入が重要なのです。
どうぞ「歯科衛生士によるメインテナンスで守る」のページもご覧下さい。
インプラント周囲炎だけでなく、その他の問題もでます!
当医院で治療を受けた人は「インプラントは永遠ではない」ことの説明は受けていますが、実際には、「自分だけには問題が起こらない」と思い込んでいる人もいるようです。
しかし、考えてみて下さい。「金属疲労」という言葉があるように、人工歯部分の劣化や摩耗が起こりますよね。ネジが緩む事もある事は当然の事なのです。
ここに、バスタブカーブといわれるグラフがあります。工業業界で多用されるグラフです。

グラフの左側が最初にインプラント治療を始めた日です。右に向かって時間が経過します。グラフの上に行くほど、トラブルの数が多い事を示しています。
最初に外科手術をしますので、外科的な失敗はこの時期に出ますね。従ってトラブルが多い期間です。外科が終われば、しばらくして人工歯が入りますが、噛みだしてから1年以内も問題が多いことが知られています。ここをクリアすれば問題が出にくい時期で、安定期に入ります。後期には歯科材料の劣化や破損、患者も変化します。年をとり生体の抵抗力が落ちるなどの問題も出てきます。それぞれの時期起こるトラブルは次の図を見て下さい。

インプラントメインテナンスを行なうのは、B:安定期とC:後期です。トラブルの芽を摘み、早期発見、早期対処がダメージを少なくすること大切だと理解できると思います。
インプラントメインテナンスの説明
天然歯の中にインプラントの歯が混ざっている方とすべてがインプラントの人工歯の方ではメンテナンスの方法に違いがありますので、それを分けて説明していきます。
少数歯がインプラントの方
インプラントを守ると同時に今ある天然歯を長持ちさせる必要があります。これ以上歯を失い、インプラントの歯が増えないように管理していく必要があります。
多数歯がインプラントの方
かみ合わせの多くの力は直接インプラントに加わるので、補綴物(セラミック歯やアバットメント)に大きな力が加わるので特徴的です。異常があれば早めに見つけて対処することが重要です。天然歯との共存は清掃も難しくなりますので、自己流のケアだけに頼るのは危険です。
すべての歯が固定性インプラントの方
大きく義歯と違う点は「就寝時も外せないところ」です。従って就寝時の歯ぎしりや食いしばりが引き起こす問題が出ることがあります。それらの問題をいち早く見つけ対処することが必要です。また、歯科衛生士による徹底的な清掃はインプラントの寿命を延ばしますので、これを行なわない不利益は大きいです。そのために定期的な健診とプロフェッショナルケアは欠かせません。
インプラントオーバーデンチャーの方
清潔がすごく大切なのですが、歯が無い顎の歯肉から出ている小さいインプラント部は深く低い位置にあるために磨きにくいものです。
また、「寝るときには必ず外す」という絶対の約束を守らない人がいます。インプラントオーバーデンチャーの場合、特に上顎は寝るときの歯ぎしりに耐えることはできません。大人なのですからしっかりして下さい。安易に考えないで下さい。定期検診に応じて下さい。
インプラントメンテナンスの実際
少数歯がインプラントのケース
この方は天然の歯が残っていますので、歯周病の方のメインテナンスと同じで、口腔内診査や清掃を行います。インプラント部分については、
当医院で右下のインプラント治療を行ない11年経過後も問題ありません。
問題が出なくても確認のために年に1度ほどの間隔でレントゲン撮影を推奨しています。
この患者には強いくいしばり傾向のあり、歯を失った理由も歯根破折でしたので、私どもは抜歯に至った理由も意識しながら診察します。
診査項目は、インプラント周囲炎だけではありません。残存歯の変化や人工歯の状態もよく観察します。
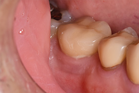
上のレントゲンから1年後のメインテナンスで歯科衛生士が、インプラント周囲の歯肉がわずかに腫れていることに気が付きました。
このような場合は指で軽く歯肉を押してみます。すると人工歯と歯肉の隙間から膿が出てきました。問題発見。本人は異常に気付いていません。
レントゲンを撮影し1年前のものと比べると、インプラント周辺の骨が少し溶けているのが分かります。特に右側ですね。
インプラント周囲炎になっても痛みは出ないために患者に自覚はありませんが、何かが起こっています。
膿が出るのはここに多くの細菌がいるからです。骨が溶けているので、インプラント周囲炎の診断です。
即座に対処しました。
ネジで止めている人工歯を外しました。
この時点でもう12年も使い続けた金属内冠と金属外冠内面がこすれて金属の摩耗が起こっていました。その隙間から汚れが入ったようです。
現在は12年前と違いもっと汚れが付きにくい素材がありますので、新しい人工歯に作り直す提案をしましたが、患者の希望でこのまま使うことになりました。
普段の歯磨きでは、人工歯の中まで清掃できませんが、今回は外したので、徹底的な清掃と研磨、かみ合わせの調整をしました。
アバットメントも外し、徹底的な清掃をしました。
金属摩耗によって精度が落ちた部分には、インプラント専用のセメントを使い隙間を埋めました。
処置直後の写真です。先ほどまで膿が出ていたとは思えないほどにきれいに治っています。
膿は止まり、歯肉が引き締まっています。
その一週間後に撮影したレントゲンです。いい感じです。
その1年後に撮影したレントゲンです。
膿が出ていた時のレントゲンと比べてみて下さい。
インプラントの付け根に骨が増えているのがお分かりでしょうか?
インプラントメインテナンスにより適切に管理されたインプラントが良好に保たれた一例をお見せしました。
インプラントに異常があっても、痛みというシグナルが無い特徴があるために、気付かない人が多いです。メインテナンスをしていない患者の多くは、多少の異常を感じてもやり過ごしてしまいます。このケースを対処せずに放置すれば、インプラント周辺の骨はもっと溶けていた可能性があるのです。そうなると、簡単には治らない状態になり、治療に費用と外科的侵襲、治療時間がかかってしまうことでしょう。
ここに元あった天然歯は、噛む力に負けて折れてしまったのですが、インプラントにしてから少なくとも13年間長持ちしてます。メインテナンスのおかげですね。
その間、隣の歯はブリッジの支台になることを免れ、健康なままでいられます。周りの歯を守ってくれるインプラントが無事なのは、患者の「健康を守りたい」という気持ちがあってこそだと思います。メインテナンスって重要ですよね。
インプラントメンテナンスで得られるメリット
もう一度、「インプラントメインテナンスの目的」を思い出しましょう。
「インプラントの長持ちや問題の防止、早期発見、早期治療」ですね。これはあなたが求めている事です。それを達成させるための必要なのが「インプラントメインテナンス」ですので、このメリットを受け取りたいですよね。美容院で大切な髪を守るように、定期的に歯科医院通いをして下さい。
世界中歯科医師や歯科衛生士がインプラントを長持ちさせる努力をしています。その成果が発表され研究がすすんでいる分野です。当医院でも歯科学会誌や歯科専門誌、学会などに参加して新しい情報を学び、患者に還元しています。
インプラント治療をしたものの、最近メインテナンスをしていないという方、これを機に診療予約を入れて下さい。
おおとも歯科では、他医院で行なったインプラントのメンテナンスにも対応します。インプラントをしているお友達も誘って来て下さいね。
インプラント長持ちのためのもう一つの要因
さて、このページの冒頭で「インプラント周囲炎の悪化を可能な限り防ぐ方法が二つあります。」と書きました。その一つがインプラントメンテナンスですが、もう一つについて説明します。その答えは、「トレーニングを積んだ歯科医師が、将来起こりうる問題をあらかじめ防ぐためのエビデンスに基づいた治療を行うこと」です。
この「歯周病患者におけるインプラント周囲炎の病態と治療法」の論文にも書いてますね。

高橋慶壮教授はこの論文で「歯科医師のトレーニング不足」のインプラント周囲炎のリスクだと断言しています。
適切なインプラント埋入計画と手技が必要です。理想的なインプラント深度は、理想的な歯肉と人工歯の境目の位置から換算して、インプラントの端が3~4mmの深さになるのが良いとされています。顎骨に対するインプラント埋入の深さが深すぎても浅すぎても問題が出やすくなります。
他にもいろいろありますが、これらの知識があり、治療技術と設備を持つ歯科医によってインプラント治療の計画と治療が行われることが、将来にわたりわたって問題が出にくいインプラントになるとがいわれています。例に有名な論文を示しますが、他にも重要なことがたくさんあり、それらを考慮した治療が必要です。


Saadoun博士は、インプラント間距離は3mm離して埋入すべきで、インプラントと隣の天然歯の場合は2mm以上の距離をとることが望ましく、そうしないとその間の骨が溶けるという研究結果を発表しました。
これを踏まえると「しっかり磨けば長持ちする」というほど単純ではない事が分かりますね。インプラントを入れた後でしっかりメンテナンスをすれば良いのではなく、埋入時点でそのインプラントの運命もある程度は決まってしまうのです。
当医院では、ミリ単位の正確な埋入位置のためにCT撮影後の診断結果に基づき光造形ステントを使った正確な埋入オペ対応しています。インプラントの長持ちを目指す人には、当院のこだわりが役に立ちます。
Tarnow博士は並んだ2本のエクスターナルインプラント間の距離は、3mm以上の距離を保つことが望ましいという論文を発表しました。この論文以降、インプラントの近すぎる埋入は、経時的に骨が吸収する原因になることが知られました。審美的なインプラント治療には歯と歯の間の歯肉(歯冠乳頭様組織)があるべきですが、インプラント間の骨が溶ければこの歯肉も失われてしまうのです。
「インプラント間の適切な距離を保てば骨は守れる」という知識を持って、治療計画と精密な埋入オペを行えば、インプラントの審美性や長期的安定につながるわけです。
インプラント治療計画、埋入オペ時点で、将来が決まるともいえます。インプラントの長持ちを目指す人には、当院のこだわりが役に立ちます。
審美的な仕上がりが要求される前歯のインプラントの場合、その埋入深さは今ある骨の高さに入れれば良いのではありません。Saadoun博士は歯の付け根(歯頚線)からインプラントまでの距離は3~4mmが望ましいという論文を発表しました。
基本的には、深すぎても浅すぎてもよろしくないのですが、深さは術者の技術だけでなく、患者個々の骨の状態も関係します。インプラント種類の選択や骨、歯肉の厚みによって適切な深さになるように心がけています。
先ほどのインプラント埋入の深さとも関係しますが、歯肉移植術によってもインプラントの見た目を左右する歯の付け根の歯肉の高さをコントロールすることができます。バイオロジックウィズという生体のルールを熟知し、利用するのです。
当院では歯肉の厚みと高さをコントロールすることで、コラーゲン組織豊富な繊維でインプラント周囲の組織を保つことができます。不揃いの歯肉は歯磨きがしにくいです。歯肉のラインをそろえることはインプラントの美しい仕上がりに加え、インプラントメンテナンスがしやすくなるというメリットがあるのです。
これらを達成するためには、歯科医の資質に加え、術前のCT撮影、光造形ステントを使ったサージカルガイドの使用、十分な数のインプラントの埋入、骨が足りない場合のGBR(骨再生誘導療法 guided bone regeneration)の実施、歯肉移植などの実施が必要になります。つまり、患者の「治療費を安く」という要望が強すぎてこれらを省いたインプラント治療を望んだ場合、安さと引き換えに患者にとって不利益を受け取る可能性があるのです。
水戸インプラントクリニックおおとも歯科は、エビデンスに基づいた歯科治療を推奨しています。
インプラント周囲炎防止には、メンテナンスが全てではない事をご理解下さい。口腔内に住み着いている歯周病菌の種類や生体の抵抗力なども関与します。
大切なことをもう一度言います。
1. メインテナンス(支持療法)の重要性
歯周病はインプラント周囲炎のリスクファクターであることから,歯周治療を終了した後に歯科インプラント治療を開始することが原則である.さらに,歯科インプラント治療(補綴)終了後にはメインテナンス(支持療法)を行うことが非常に重要である.
2. メインテナンス(支持療法)の目的
(1)インプラントとその周囲組織を口腔内で長期に安定して機能させる
(2)インプラト周囲粘膜炎およびの早期発見,早期治療
(3)インプラト以外の口腔内疾患や症状早期発見
厚生労働省のホームページでは、インプラント周囲組織に注目していますが、現実問題として、人工歯部分の劣化や摩耗も起こりますので、「やって終わり」ではありません。やりっぱなしのインプラント治療はいけません。おおとも歯科と末永いお付き合いをお願いいたします。そのために、互いに礼節をもって接することが大切ですね。
このページを最後まで読んで下さった方の健康とご多幸をお祈り申し上げます。
私は、20年も以上インプラント治療をしていますので、数百人のインプラント患者の中には数年使用したインプラントが除去に至ったケースもありました。
その時の患者の残念そうな顔は印象的です。多くの人は天然の歯が抜けたときよりも落胆します。
私は、そんな顔は見たくてインプラント治療をやっているわけではないので、私の患者のインプラントは本当に守っていきたいのです。
インプラントメンテナンスに来て下さい。
これを読んで下さった患者の皆さま、どうか私どもの声に耳を傾けて下さい。
インプラントが長持ちするために私たちができることは汚れと力のコントロールです。
ある患者は、インプラントの最終義歯が入ったのを最後に来院を止めてしまいました。歯を失ってから、せっかく大金をかけて治したのに数年後に次にお会いした時には残念な状態になっていました。
また、ある患者は、就寝時にオーバーデンチャーを外すように指導したにも関わらず従いませんでした。就寝時の歯ぎしりで揺らされ続けたため、重度のインプラント周囲炎となり、インプラント除去となりました。
その患者に「就寝時は義歯を外して寝る約束をしていたけど、覚えてますか?」と聞くと「そう聞いていましたが、大切とは思わなかった」との答えでした。
どうか皆さん、私ども専門家が重要だと言った事は本当に重要ですので、どうかご理解下さい。
院長 大友 孝信
当医院の渡辺歯科衛生士は、歯科学会で県内の歯科衛生士にインプラントメインテナンスの指導をしているプロフェッショナルです。私どもにお任せ下さい。
最後にインプラント周囲炎のリスク因子について説明します。
インプラント周囲炎のリスク因子
- 細菌学的因子(種類、量、組み合わせ)
- 過重な咬合負担
- インプラント周囲角化粘膜の不足
- 歯科医師のトレーニング不足
- 材料学的因子
- 骨知覚:インプラントの噛み心地は天然の8倍鈍いため、必要以上に強い力で噛んでしまいがち
- 就寝時の歯ぎしり
これらについては別の記事で解説していきます。